Dotychczas nie wynaleziono na nią skutecznego lekarstwa, którym udałoby się wszystkich chorych od razu wyleczyć, dodatkowo jest niezwykle zaraźliwą chorobą – Śpiączka afrykańska, do zakażenia dochodzi poprzez ugryzienie przez muchę tse-tse. Gdzie można spotkać tę chorobę, w jaki sposób się objawia, jak skutecznie zwalczać jej skutki, aby jej przebieg nie zakończył się śmiercią?

Istnieją dwa rodzaje śpiączki afrykańskiej. Oba wywołuje należący do wiciowców pasożyt zwany Trypanosoma brucei. Podgatunek Trypanosoma brucei gambiense szerzy się wzdłuż rzek i jezior afrykańskich, wywołując przewlekłą postać śpiączki, zwaną także odmianą zachodnią. Terenem działania bardziej agresywnego „krewniaka” – Trypanosoma brucei rhodesiense- są sawanny i jeziora Afryki wschodniej oraz południowej (odmiana wschodnia śpiączki).
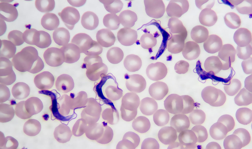
Charakterystyczną cechą tych dwóch podgatunków jest duża zmienność antygenowa. Pod tą nazwą kryje się dosyć perfidny mechanizm, za pomocą którego pasożyt „ucieka” przed atakiem naszej wewnętrznej „policji” – układu immunologicznego. Wiciowiec po prostu zmienia swoją „skórę”. Przeciwciała, które wytwarzamy, działają tylko na specyficzny rodzaj antygenu (mówimy, że pasują jak „klucz do zamka”). Tymczasem tutaj ten „zamek” jest co pewien czas inny, a my nie nadążamy z produkcją „kluczy”.
Przenosicielem Trypanosoma brucei jest sławna mucha tse-tse, należąca do rodzaju Glossina palpalis. Zasięg śpiączki afrykańskiej wiąże się ściśle z miejscem występowania tego owada, czyli z grubsza – między 15o szerokości geograficznej południowej i 15o szerokości północnej. Zwalczanie śpiączki (bardzo niedoskonałe) polega m.in. na walce z muchą tse-tse, zamieszkującą jeziora, rzeki, granice lasów i sawannę.

Mucha tse-tse
Na ból, cierpienie i zgony z powodu śpiączki afrykańskiej narażonych jest około 55 milionów ludzi w 36 krajach Afryki, z których większość należy do najbiedniejszych i najmniej rozwiniętych państw świata. Co roku rejestruje się średnio 25 tys. nowych przypadków choroby. Jednak naukowcy sądzą, że gdyby objąć nadzorem medycznym całą zagrożoną populację, to liczba ta zwiększyłaby się co najmniej 10-krotnie – do 250-300 tys.
Wydawało się już, że choroba trapiąca Czarny Kontynent od XIV w. zostanie pokonana albo przynajmniej ograniczona do pojedynczych przypadków. Wysiłek wielu ludzi sprawił, że zaczynało być to możliwe. Niestety, wycofanie się Europejczyków z Afryki w latach 60. i 70. załamało te nadzieje. Śpiączka afrykańska święci teraz swój tragiczny w skutkach powrót. Mucha tse-tse odżywia się krwią ludzi i zwierząt. Przy ukłuciu przez zarażonego owada do naszej krwi dostaje się pasożyt, który rozmnaża się i ostatecznie przedostaje do prawie wszystkich narządów i tkanek. Po 1-4 tygodniach w przypadku odmiany wschodniej, a po kilku miesiącach w przypadku odmiany zachodniej pojawiają się objawy choroby.
We wczesnej fazie, tzw. miejscowej, w miejscu ukłucia powstaje kilkucentymetrowa zmiana zwana szankrem, który ustępuje samoistnie przed upływem miesiąca. Szankier ma postać guzka lub wrzodu.
Po kilku tygodniach wiciowce szybko się namnażają i zaczynają krążyć we krwi, docierając do różnych organów. Choroba przechodzi w drugą fazę – parazytemii (obecności i rozmnażania się pasożytów we krwi). W tym okresie rozwija się gorączka (często wysoka), pojawia się osłabienie, bóle głowy i stawów oraz świąd.
Wraz z postępem choroby organizm wyczerpuje swoje siły, układ obronny staje się coraz mniej wydolny. Objawy narastają, powiększają się węzły chłonne, pojawia się zapalenie mięśnia sercowego oraz nerek, niedokrwistość i inne zmiany we krwi, kobiety w ciąży ronią.
Charakterystyczną cechą jest to, że objawy występują rzutami, z okresowym „uciszeniem się”, które nazywamy remisją.
Końcową trzecią fazę rozwoju choroby stanowi postać neurologiczna. Właśnie od niej śpiączka wzięła swoją nazwę. Pasożyt, łamiąc ostatnie linie obrony, przechodzi do mózgu i rdzenia kręgowego. Jednym z pierwszych objawów tego stadium jest zmiana w zachowaniu – chory nie może się na niczym skoncentrować, staje się obojętny na różne bodźce, wszystkie czynności doprowadzają go do stanu wyczerpania i rozpaczy. Towarzyszą temu zaburzenia snu i bóle głowy. W dzień ogarnia chorego niewytłumaczona, wszechogarniająca senność, a w nocy wydaje się nadmiernie pobudzony.
Później jego zachowanie staje się zupełnie nieprzewidywalne: napady złości i agresywności przeplatają się z kompletną apatią i odrętwieniem, w której nawet otwarcie oczu wymaga nadludzkiego wysiłku. W końcu, w dużych cierpieniach dochodzi do śpiączki i zgonu.
Ta choroba wydaje się tak nienaturalna, a cierpienie tak wielkie, że wśród rdzennych mieszkańców Afryki panuje niewzruszone przekonanie o czarach jako jej jedynej przyczynie. Nawet rozmowa o tej chorobie i chorych jest zakazana.
Zobacz także inne choroby występujące w strefie tropikalnej takie jak: Onchocerkoza, Skórna larwa wędrująca czy Stopa madurska
Amerykańska śpiączka występuje na obszarach endemicznych, głównie w Afryce, jak sama nazwa wskazuje. Mimo że wydaje się niezbyt popularnych schorzeniem, co roku zapada na nią około 50 milionów ludzi! Jest to niezwykle duży wyniki. Co roku zarejestrowanych jest kilkadziesiąt tysięcy nowych przypadków. Dotychczas odnotowano ją głównie na obszarach epidemicznych, obejmujące: Sudan, Wybrzeże Kości Słoniowej, Czad i Republikę Środkowej Afryki. Nie trudno zgadnąć, iż choroba ta najczęściej spotykana jest w klimacie tropikalnym, a także w lasach deszczowych Afryki Środkowej. Wilgoć i ciepło są dwoma podstawowymi czynnikami, które przyczyniają się do rozwoju tych owadów. Co istotne, bardzo często zarażone śpiączką afrykańską są antylopy, które bytują na obszarach sawanny oraz innych terytoriach leśnych i trawiastych. Wiele zachorowań odnotowuje się w Afryce Wschodniej u ludności odwiedzającej tamtejsze parki. Warto wspomnieć, że aż 95% ilości zachorowań na śpiączkę afrykańską pochodzi z Ugandy, Zambii, Tanzanii oraz Malawi.

Występowanie śpiączki afrykańskiej
Schorzenie to przenoszone jest przez muszkę tse-tse, niezwykle niebezpiecznego owada. Muszki zwykle zarażają się nią, gryząc niektóre zwierzęta, np. antylopy lub krowy, zamieszkujące tereny sawanny lub obszary leśne. Choroba ta najczęściej dotyczy właśnie osób mieszkających na terenach wiejskich, jednak nie omija także turystów! Dlatego należy zachować szczególną ostrożność. W ciele człowieka, po ugryzieniu, zaczyna rozwijać się pasożyt, tzw. świdrowiec gambijski oraz świdrowiec rodezyjski, który niszczy poszczególne narządy, by następnie uszkodzić centralny układ nerwowy. Śpiączka afrykańska dzieli się na dwie odmiany: postać wschodnią, wywoływaną przez świdrowiec rodezyjski oraz postać zachodnioafrykańską, którą powoduje świdrowiec gambijski. Co najważniejsze, pasożytem można zarazić się od innych osób, w momencie, gdy muszka ugryzie zarażonego człowieka. Nietrudno zatem o epidemiczne szerzenie się choroby. Zakażony pacjent musi zostać odizolowany.
Przebieg tej choroby podzielony jest zwykle na 3 fazy. Można wyróżnić fazę miejscową, czyli z reguły tuż po ukąszeniu, fazę uogólnioną, w której zaczynają pojawiać się objawy takie, jak: gorączka powiększenie węzłów chłonnych, a także fazę trzecią, czyli neurologiczną. W ostatnim stadium choroba atakuje układ nerwowy, mogą występować stany zapalne mózgu, opon mózgowo – rdzeniowych i w efekcie trwałe uszkodzenie narządów i mózgu, a następnie śmierć. Warto wspomnieć, że postać wschodnia choroby, tzw. śpiączka rodezyjska, powoduje ostre objawy schorzenia. W bardzo wczesnym stadium może dojść do uszkodzenia układu nerwowego, a jeśli leczenie nie zostanie w ogóle podjęte, dochodzi do śmierci w przeciągu kilku miesięcy, a nawet tygodni. Postać zachodnia, czyli śpiączka gambijska, powoduje wolno postępujące zapalenie mózgu, nieco łatwiej się ją leczy, głównie ze względu na fakt, że jest więcej czasu na diagnostykę i leczenie pacjenta.

Jeśli istnieje podejrzenie choroby, jaką jest śpiączka afrykańska, należy niezwłocznie zgłosić się do lekarza. Szybkie podjęcie leczenia może sprawić, że chory zostanie całkowicie wyleczony z tego schorzenia. Diagnostyki natomiast dokonuje się poprzez wykrycie pasożyta w organizmie człowieka. Można tego dokonać poprzez badanie krwi, w pierwszej fazie choroby następuje m.in. małopłytkowość i leukocytoza, w następnej podwyższony poziom płynu mózgowo-rdzeniowego. Pasożyty można badać także bezpośrednio poprzez pobranie materiału z węzłów chłonnych lub krwi obwodowej. W pierwszej fazie można je bezpośrednio wykryć, natomiast w kolejnych niestety jest to niemożliwe. Choroba jednak wchodzi w takie stadium, że można ją bardzo łatwo zdiagnozować poprzez inne objawy. W przypadku występowania śpiączki afrykańskiej można stwierdzić także podejrzenia choroby autoimmunologicznej, dzieje się tak ze względu na obecność pasożytów w ciele człowieka.
Schorzenie to można leczyć poprzez podawanie różnorodnych środków antypasożytniczych, które pomagają zwalczyć świdrowce w organizmie. Stosuje się je w różnorodnych kombinacjach i dawkach, w zależności od rodzaju i stopnia zaawansowania śpiączki afrykańskiej. Leczenie odbywa się w szpitalu, pacjent musi zostać odizolowany od otoczenia. Warto dodać, że niepodjęcie leczenie skutkuje śmiercią. W przypadku śpiączki rodezyjskiej, do śmierci może dojść w ciągu nawet kilku tygodni lub paru miesięcy. Leczenie powinno odbywać się zatem natychmiastowo. Śpiączka gambijska powoduje powolny rozwój choroby, trwający nawet kilka lat, dzięki temu nieco łatwiej się ją leczy. Pacjentowi podawane są zazwyczaj: Pentamidyna i Suramina, leki przeciwko pierwotniakom, stosowane w przypadku występowania zakażenia trypanozomozą i leiszmaniozą. Jeśli choroba zostanie wykryta w drugiej fazie, choremu podaje się Elfornitynę oraz Melarsoprol, niestety, jego produkcja wzbudza protesty ekologów, ze względu na zawartość arsenu. W większości jednak sprowadzanie tych leków do krajów Afryki jest kosztowne, dlatego corocznie umiera na tę chorobę bardzo dużo osób.
O tym, że śpiączka afrykańska nie jest tylko chorobą Afrykanów, świadczy coraz większa liczba turystów, którzy wracają do swoich krajów zarażeni wiciowcem. Dodajmy, że odmiana wschodnia występuje w takich krajach jak Uganda, Kenia, Tanzania, Malawi, Etiopia, Zimbabwe i Botswana. Niektóre z tych państw są modne również wśród polskich turystów.
Odmianą zachodnią (o bardziej przewlekłym przebiegu) można zarazić się głównie w krajach położonych nad Zatoką Gwinejską. Dla ścisłości dodajmy jeszcze, że według WHO (Światowej Organizacji Zdrowia) do państw o najwyższej częstości występowania śpiączki afrykańskiej należą: Angola, Kongo, Uganda i Sudan.
Niestety nie istnieje żadna szczepionka ani skuteczny w profilaktyce tej choroby lek, który moglibyśmy przyjmować w trakcie pobytu w „podejrzanych” rejonach. Według WHO należy nosić chroniące przez ukłuciami muchy tse-tse ubranie z długimi rękawami i nogawkami, do tego zrobione z grubego materiału (mucha przebije cienką tkaninę) i zabarwione na kolor oliwkowy (bardzo jasne lub bardzo ciemne kolory przyciągają muchy). Należy również stosować preparaty odstraszające owady (repelenty z deet ) i używać moskitier. Nie zaleca się jazdy odkrytymi samochodami typu jeep lub pickup.
W walkę z chorobą należy włożyć o wiele więcej wysiłku i, niestety, pieniędzy. Te ostatnie będą potrzebne na środki owadobójcze (insektycydy), niezbędne do wyeliminowania niebezpiecznej muchy tse-tse. Będzie też konieczny wspólny wysiłek organizacji międzynarodowych i firm farmaceutycznych skierowany na wynalezienie i wyprodukowanie tanich, skutecznych i bezpiecznych leków, czy też być może odpowiedniej szczepionki
Zobacz najsilniejsze repelenty odstraszające muchy tse-tse z serii Mugga Spray.

Uwaga!
Powyższa porada jest jedynie sugestią i spisem informacji z wielu renomowanych źródeł i w przypadku problemów zdrowotnych nie może zastąpić wizyty u specjalisty. Zawsze w przypadku problemów ze zdrowiem należy bezwzględnie skonsultować się z lekarzem !
Informacje opierają się na stanie wiedzy z dnia publikacji 13.07.2018 i mogą ulec zmianie.